Looking For Anything Specific?

Cerebral Venous Sinus Thrombosis (Cvst) : Cerebral venous sinus thrombosis: Here's what we know : Cerebral venous sinus thrombosis (cvst) is less common than other types of stroke but can be more challenging to diagnose due to its varied presentation patterns;

Cerebral Venous Sinus Thrombosis (Cvst) : Cerebral venous sinus thrombosis: Here's what we know : Cerebral venous sinus thrombosis (cvst) is less common than other types of stroke but can be more challenging to diagnose due to its varied presentation patterns;. Thrombosis of cerebral veins and venous sinuses is a rare disease, which accounts for less than 1% of all cases of stroke. Because of the generally good prognosis and variable clinical signs. Cerebral venous thrombosis (cvt) refers to occlusion of venous channels in the cranial cavity, including dural venous thrombosis, cortical vein superior sagittal sinus or the dominant transverse sinus thrombosis can affect the arachnoid granulations absorption of cerebrospinal fluid, a. Children and adults have different risk factors for cvst. Cvst is an uncommon type of stroke.

While the patient's headache initially responded to pain medication. How is cerebral venous sinus thrombosis diagnosed? Cerebral venous sinus thrombosis occurs when a blood clot forms in the brain's venous sinuses. Diagnosis and management of cerebral venous thrombosis: This condition may also be called cerebral sinovenous thrombosis.

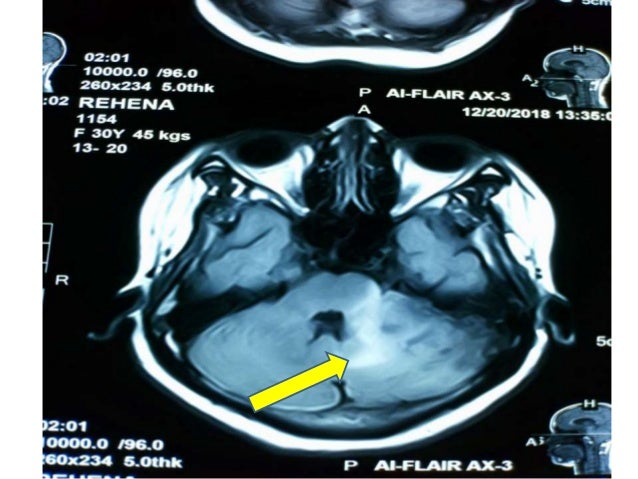
Cerebral Venous Sinus Thrombosis (CVST) Case Report
Cerebral Venous Sinus Thrombosis (CVST) Case Report from image.slidesharecdn.com
While the patient's headache initially responded to pain medication. Everyone can benefit from a healthy diet and exercise. Cerebral venous sinus thrombosis (cvst) constitutes a small proportion of stroke. Residents and fellows contest rules | international ophthalmologists contest rules. Cerebral venous thrombosis (cvt) refers to occlusion of venous channels in the cranial cavity, including dural venous thrombosis, cortical vein superior sagittal sinus or the dominant transverse sinus thrombosis can affect the arachnoid granulations absorption of cerebrospinal fluid, a. The most frequent and often early symptom of thrombosis of cerebral veins and sinuses is a headache. This condition may also be called cerebral sinovenous thrombosis. This prevents blood from draining out of the brain.

The diagnosis of cvst needs high threshold for suspicion, especially in patients with meningitis or.

Cerebral venous sinus thrombosis occurs when a blood clot forms in the brain's venous sinuses. While the patient's headache initially responded to pain medication. Cvst is an uncommon type of stroke. Its risk factors include hypercoagulability of various causes. Severe dehydration after competitive sport had induced cvst. Die thrombosen der intrakraniellen venen und sinus, stuttgart, 1965; Cerebral venous sinus thrombosis incidence is higher than previously thought: Although, the frequency of cerebral venous sinus thrombosis (cvst) has dropped remarkably in recent years but unfortunately, it is still seen commonly in a developing country like pakistan. For this reason, it seems to be overlooked not only by general practitioners but also in some specific cases by neurologists as well.1. Cvst clinically presents with headache, often associated with nausea, vomiting, conscious disturbances, and sometimes with eyelid oedema, blurred vision or diplopia, and seizures. † intracranial hemorrhage that occurred as the consequence of cvst is not a contraindication for anticoagulation. Children and adults have different risk factors for cvst. The aim of this study was to assess the correlations between the location and extent of venous sinus impairment.

Cerebral venous thrombosis is an important cause of stroke especially in children and young adults. How is cerebral venous sinus thrombosis diagnosed? Little is known concerning the corresponding diagnostic value of. The etiology is multifactorial and the presentation is variable, with diagnosis requiring a high index of suspicion. The most frequent and often early symptom of thrombosis of cerebral veins and sinuses is a headache.

Vaccine expert: The US doesn't need to rely on J&J vaccine
Vaccine expert: The US doesn't need to rely on J&J vaccine from s.yimg.com
What causes cerebral venous sinus thrombosis? You may also need to take part in a special rehab program or physical therapy if you. What you need to do to recover and then stay healthy after cvst will depend on how the stroke affected your brain. Cerebral venous thrombosis (cvt) refers to occlusion of venous channels in the cranial cavity, including dural venous thrombosis, cortical vein superior sagittal sinus or the dominant transverse sinus thrombosis can affect the arachnoid granulations absorption of cerebrospinal fluid, a. К a 1 b a g r. Everyone can benefit from a healthy diet and exercise. The diagnosis of cvst needs high threshold for suspicion, especially in patients with meningitis or. We received 32 patients hospitalized on.

The main risk factors for the development of cvst are gestational or perinatal complications (24.

Thrombosis of cerebral veins and venous sinuses is a rare disease, which accounts for less than 1% of all cases of stroke. It is more common than previously thought and frequently missed on initial imaging. A statement for healthcare professionals from the american heart association/american stroke association. Living with cerebral venous sinus thrombosis. † intracranial hemorrhage that occurred as the consequence of cvst is not a contraindication for anticoagulation. Children and adults have different risk factors for cvst. Cerebral venous sinus thrombosis (cvst) is a clot in the venous drainage system of the brain and can present to ophthalmology. Its risk factors include hypercoagulability of various causes. Severe dehydration after competitive sport had induced cvst. Cvst indicates cerebral venous and sinus thrombosis; Two patients presented with cerebral venous sinus thrombosis (cvst) associated with iron deficiency. Cerebral venous sinus thrombosis occurs when a blood clot forms in the brain's venous sinuses. The initial head ct was negative.

Residents and fellows contest rules | international ophthalmologists contest rules. Severe dehydration after competitive sport had induced cvst. Background and purpose—in cerebral venous thrombosis (cvt), the sensitivity of conventional mri sequences to detect clot in the sinuses or veins is incomplete and largely depends on the time elapsed since thrombus formation. H u h n a. The superior sagittal sinus and lateral sinuses were identified as the most commonly affected sinuses.

Cerebral Venous Sinus Thrombosis (CVST) Case Report
Cerebral Venous Sinus Thrombosis (CVST) Case Report from image.slidesharecdn.com
Cerebral venous sinus thrombosis (cvst) is a rare disease capable of leading to severe neurological outcomes, occurs among newborns significantly more frequently than in other age groups. Cerebral venous thrombosis (cvt) refers to thrombus formation in either the deep or superficial venous drainage systems of the brain. Cerebral venous sinus thrombosis (cvst) constitutes a small proportion of stroke. Living with cerebral venous sinus thrombosis. Cerebral venous sinus thrombosis (cvst) is a clot in the venous drainage system of the brain and can present to ophthalmology. For this reason, it seems to be overlooked not only by general practitioners but also in some specific cases by neurologists as well.1. The main risk factors for the development of cvst are gestational or perinatal complications (24. You may also need to take part in a special rehab program or physical therapy if you.

Cerebral venous sinus thrombosis occurs when a blood clot forms in the brain's venous sinuses.

Cerebral venous sinus thrombosis (cvst) is a clot in the venous drainage system of the brain and can present to ophthalmology. The etiology is multifactorial and the presentation is variable, with diagnosis requiring a high index of suspicion. This condition may also be called cerebral sinovenous thrombosis. Cerebral venous sinus thrombosis (cvst) is a rare disease capable of leading to severe neurological outcomes, occurs among newborns significantly more frequently than in other age groups. The most frequent and often early symptom of thrombosis of cerebral veins and sinuses is a headache. You may also need to take part in a special rehab program or physical therapy if you. Cerebral venous sinus thrombosis incidence is higher than previously thought: We received 32 patients hospitalized on. A statement for healthcare professionals from the american heart association/american stroke association. The cerebral venous and sinus thrombosis (cvst), severe neurological emergencies is an important pathology of the venous brain system. Thrombosis of the venous channels in the brain is an uncommon cause of cerebral infarction relative to arterial disease, but it is an important consideration because of its potential galarza m, gazzeri r. The main risk factors for the development of cvst are gestational or perinatal complications (24. Cerebral venous sinus thrombosis occurs when a blood clot forms in the brain's venous sinuses.

Cerebral venous sinus thrombosis (cvst) is a rare disease capable of leading to severe neurological outcomes, occurs among newborns significantly more frequently than in other age groups cerebral venous sinus thrombosis. Prognosis of cerebral vein and dural sinus thrombosis:

Posting Komentar

0 Komentar